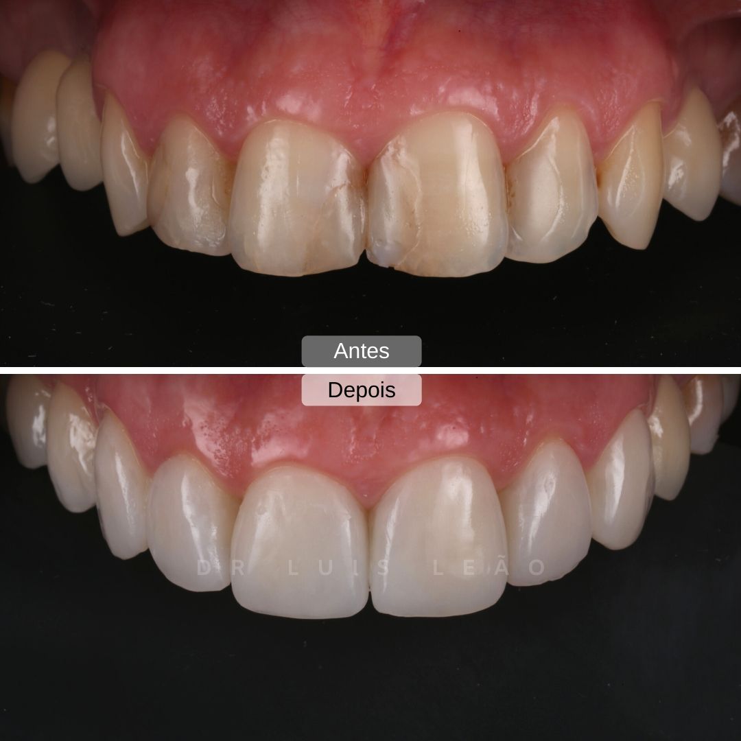
As restaurações antigas, a pigmentação dentária e algumas dores associadas a traumas, foram resolvidas com um conjunto de tratamentos realizados pelo Dr. Luís Leão. Destacamos neste sorriso, a colocação de Facetas Dentárias para uniformizar a linha do sorriso.
Marque agora a sua consulta
Contactos
-
Horários
2ª a 6ª das 9h às 20h
-
Morada
Rua de Camões, Nº 115 – R/C
4000-144 Porto
Portugal -
Email
