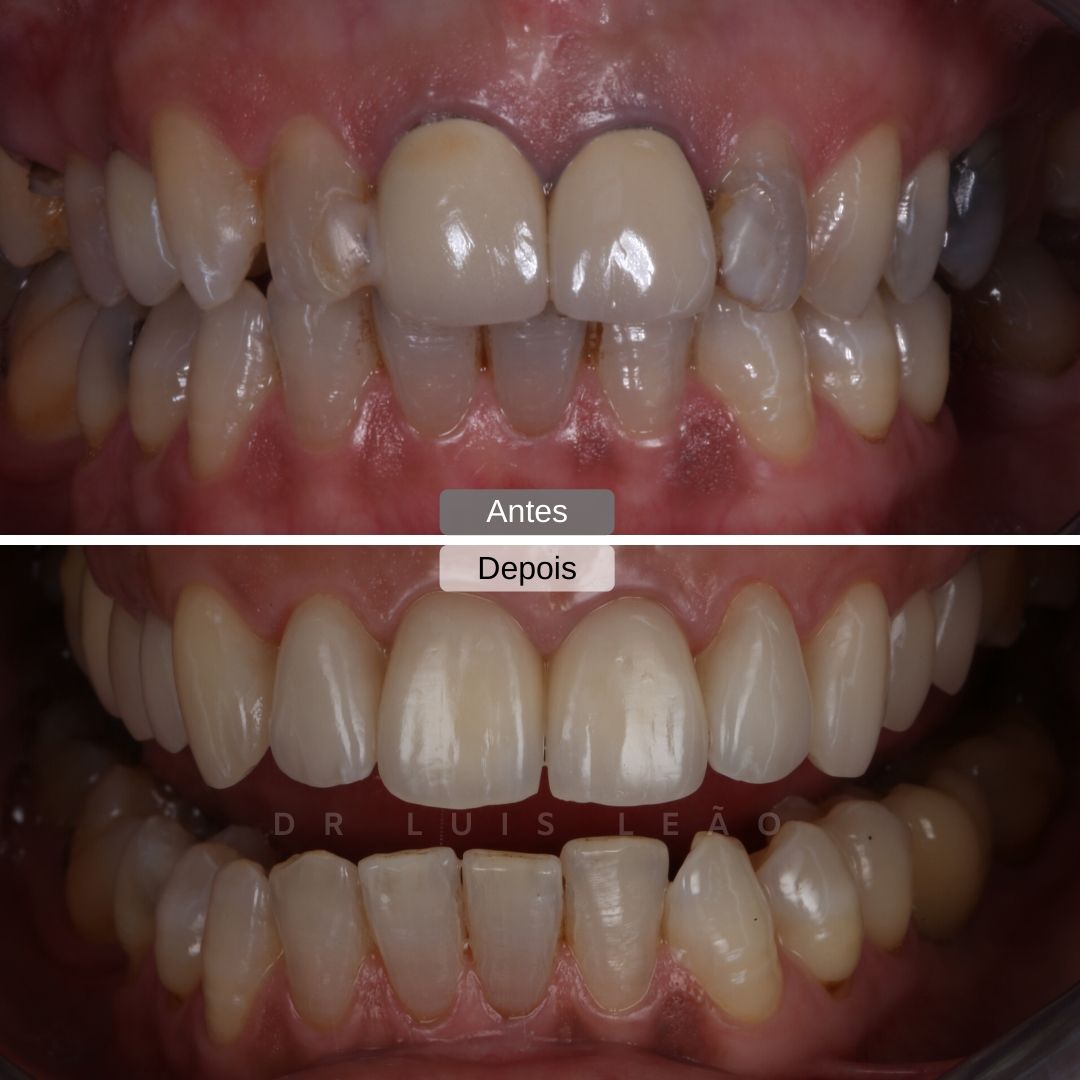
Neste caso de reabilitação total superior, com recurso a facetas, coroas adesivas e implantes, o objectivo do tratamento foi melhorar a estética e abrir o sorriso do paciente com o aumento dos corredores bucais. Nestes casos de Reabilitação Oral, de forma a aperfeiçoarmos ainda mais o resultado estético, fazemos um branqueamento das raízes!
Marque agora a sua consulta
Contactos
-
Horários
2ª a 6ª das 9h às 20h
-
Morada
Rua de Camões, Nº 115 – R/C
4000-144 Porto
Portugal -
Email
