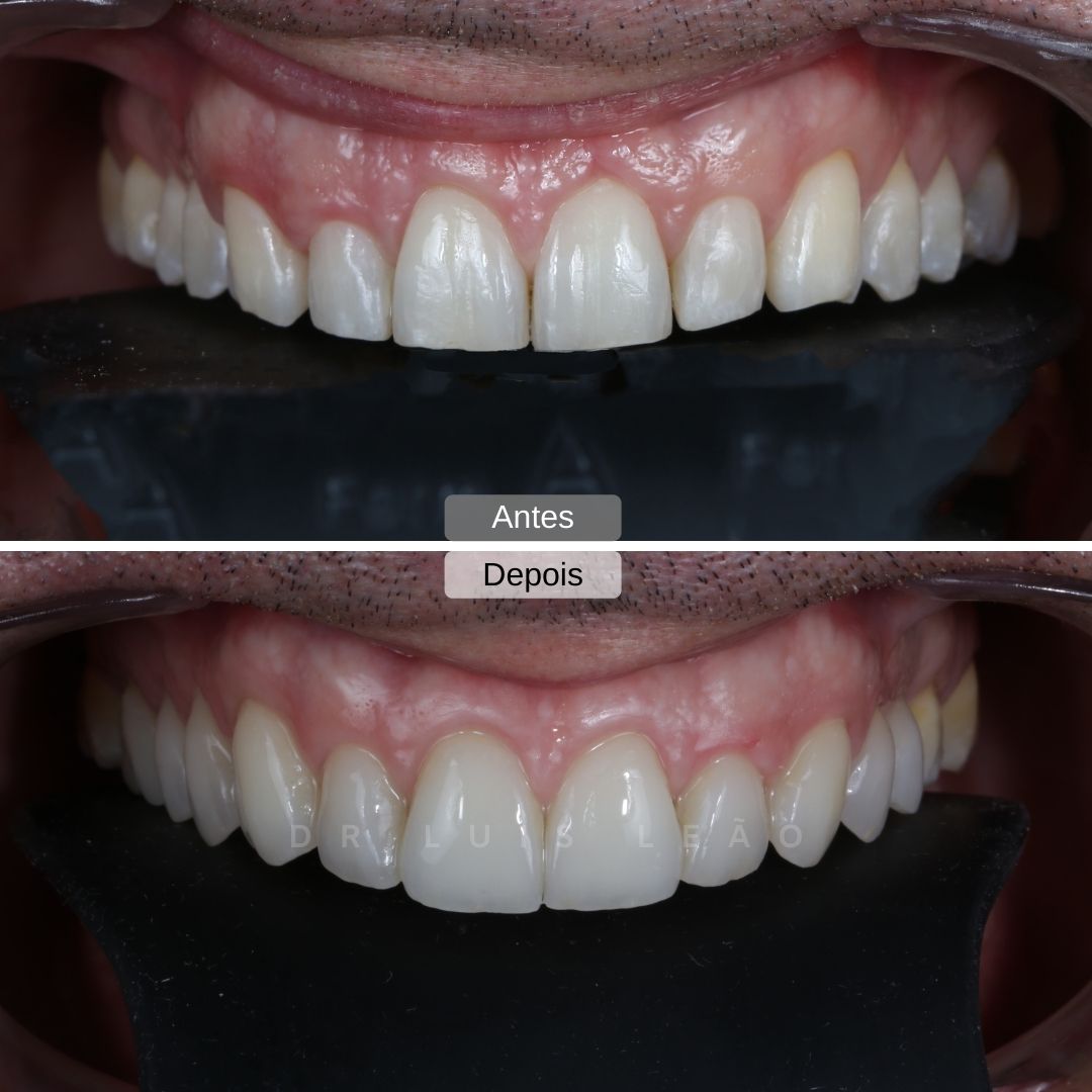
O caso que apresentamos hoje, realizado pelo Dr. Luís Leão, foi realizado pós tratamento ortodôntico. O objectivo deste tratamento foi restituir a anatomia perdida dos molares e incisivos, provocada pelo desgaste dentário muito comum em casos de bruxismo (devido à má
posição dentária). Colocamos table tops posteriores e facetas para devolver a estética e saúde do sorriso.
Marque agora a sua consulta
Contactos
-
Horários
2ª a 6ª das 9h às 20h
-
Morada
Rua de Camões, Nº 115 – R/C
4000-144 Porto
Portugal -
Email


