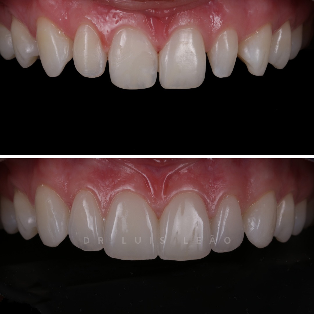
O sorriso é um dos principais elementos do nosso rosto. Por vezes, apesar de saudável, causa desconforto a alguns dos nossos pacientes devido à sua estética.
A nossa paciente procurou-nos porque gostaria de solucionar os espaços existentes no seu sorriso, os diastemas. Através da colocação de Facetas Dentárias foi possível devolver-lhe o sorriso que procurava, natural mas harmonioso.
Marque agora a sua consulta
Contactos
-
Horários
2ª a 6ª das 9h às 20h
-
Morada
Rua de Camões, Nº 115 – R/C
4000-144 Porto
Portugal -
Email
