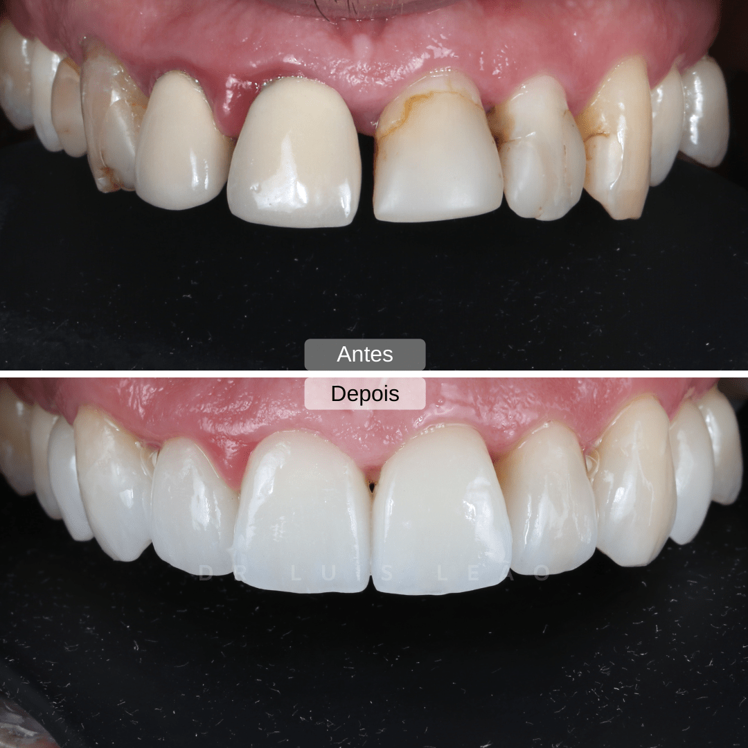
Apresentamos um novo caso de Reabilitação Oral realizado pelo Dr. Luís Leão com recurso às nossas Facetas Dentárias! Como podemos observar, estas finas peças trabalhadas em cerâmica, são uma solução muito natural, que permite devolver o conforto do paciente ao mastigar, e a harmonia do seu sorriso!
Marque agora a sua consulta
Contactos
-
Horários
2ª a 6ª das 9h às 20h
-
Morada
Rua de Camões, Nº 115 – R/C
4000-144 Porto
Portugal -
Email


