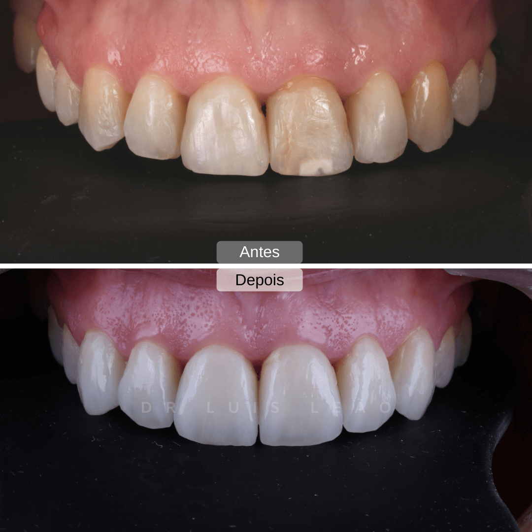
Nos tratamentos de Reabilitação Oral com recurso a Facetas Dentárias, procuramos criar uma solução estética que mimetize ao máximo as características naturais dos nossos dentes.
Na primeira consulta realizamos uma análise digital de cada dente, da sua posição na boca e relação com o sorriso, para que na fase de preparação, consigamos criar facetas únicas, personalizadas para criar a maior harmonia no rosto.
Este foi um dos nossos casos mais recentes, tratado com estas técnicas.
Marque agora a sua consulta
Contactos
-
Horários
2ª a 6ª das 9h às 20h
-
Morada
Rua de Camões, Nº 115 – R/C
4000-144 Porto
Portugal -
Email


