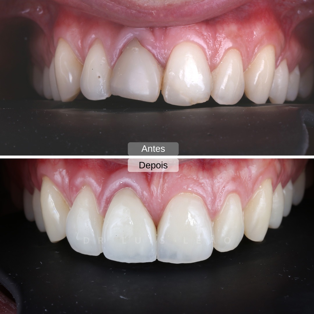
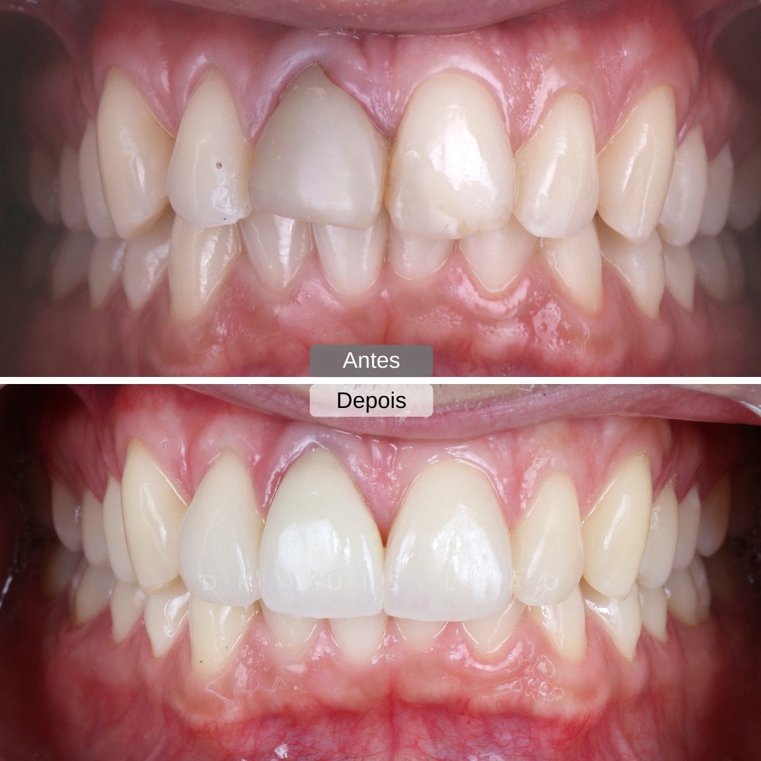
Facetas Dentárias – Caso 24CJOT20182022-02-17T10:42:59+00:00 Marque agora a sua consulta Motivo da ConsultaAvaliação DentáriaUrgênciaImplantologiaFaceta DentáriasOrtodontiaMais Informações Declaro que Li e Aceito a Política de Privacidade* Δ × Contactos Horários 2ª a 6ª das 9h às 20h MoradaRua de Camões, Nº 115 – R/C4000-144 PortoPortugal Telefones(+351) 22 332 0731Chamada para a rede fixa nacional Email[email protected]