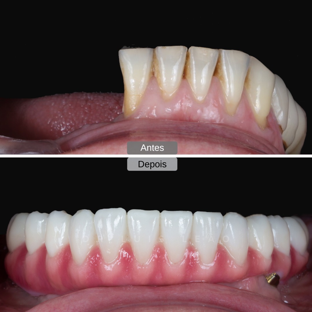
Este sorriso é o resultado do trabalho de uma equipa multidisciplinar.
O nosso paciente apresentava algumas condições orais que necessitavam de ser tratadas, o que implicou um tratamento ortodôntico, colocação de implantes dentários e para finalizar foi feita a colocação de facetas dentárias pelo Dr. Luís Leão e o Dr. Diogo Ribeiro.
Marque agora a sua consulta
Contactos
-
Horários
2ª a 6ª das 9h às 20h
-
Morada
Rua de Camões, Nº 115 – R/C
4000-144 Porto
Portugal -
Email

