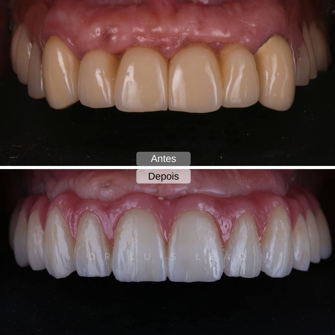
Quando este paciente chegou à Clínica, apresentava pontes antigas e o sorriso muito danificado. A solução encontrada pelo Dr. Luís Leão foi a reabilitação oral total com implantes dentárias no maxilar superior, que permitiu assim devolver a harmonia ao seu sorriso.
Marque agora a sua consulta
Contactos
-
Horários
2ª a 6ª das 9h às 20h
-
Morada
Rua de Camões, Nº 115 – R/C
4000-144 Porto
Portugal -
Email


