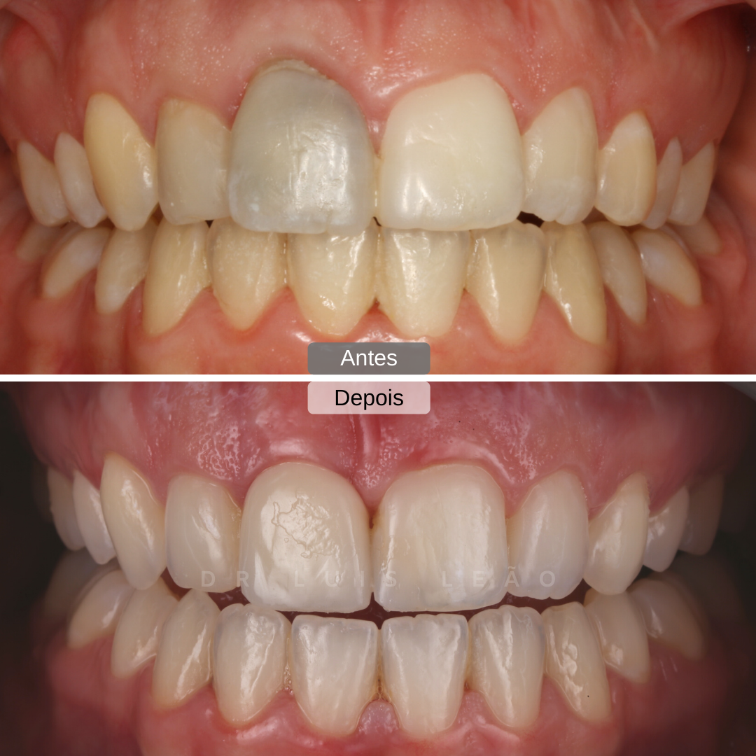
This is a case that Dr Luís Leão carried out about 5 years ago on a patient who had a root fracture, i.e. a cracked tooth that wasn’t in keeping with the rest of her smile.
To deal with this case, a single implant in Zirconia was placed, as it was a tooth with greater exposure, since this material best mimics the root of the tooth. One of the most important aspects of these treatments is to ensure that the prosthetic dental pieces have a natural colour in symbiosis with the rest of the smile, in order to ensure that it is not noticeable that dental treatment has been carried out!
We are very satisfied with the result, which is very natural, as well as with the bone behaviour after 5 years.


