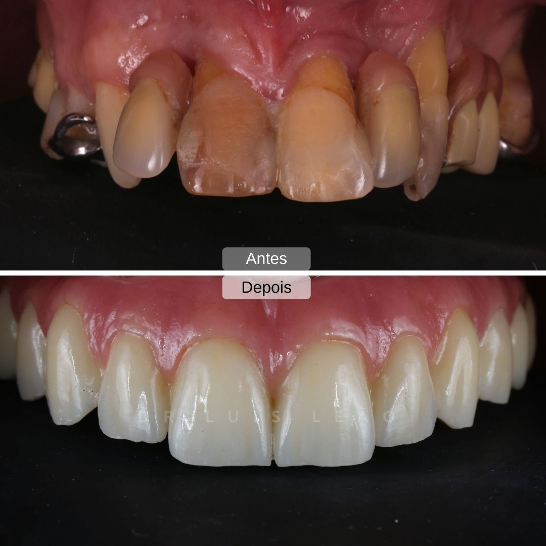
Este é o caso de um paciente que mesmo já tendo realizado reabilitações orais, se sentia desconfortável com o seu sorriso. De forma a devolver o conforto a este paciente, o Dr. Luís Leão optou por reabilitar o seu sorriso com uma única prótese fixa sobre implantes. Esta foi a solução para devolver a estética e funcionalidade ambicionadas.
Marque agora a sua consulta
Contactos
-
Horários
2ª a 6ª das 9h às 20h
-
Morada
Rua de Camões, Nº 115 – R/C
4000-144 Porto
Portugal -
Email



